白く美しい歯を手に入れたい方へ
「歯を白くしたい」「歯を美しく見せたい」といったご要望をお持ちの方は多いはず。そんな方には審美治療や医療ホワイトニングがオススメです。審美治療は、銀歯などの目立つ技工物を白く美しい技工物に替える治療、軽度の歯並びを整えて自然な仕上がりにする治療などに対応する、「歯の見た目と機能の両立」を追求した診療メニューです。医療ホワイトニングは、薬剤を使って歯を白くする歯科処置のことで、こちらも審美治療で受けることができます。

大阪市淀川区の歯医者「西中島ミナミ歯科クリニック」では、審美治療と医療ホワイトニングのいずれにも対応しており、患者様のご要望に応じて最適な治療方法をご提案しています。歯や口元の「見た目」が気になる方は、一度ご相談ください。
医療ホワイトニングについて
飲食物に含まれる強い色素やタバコのヤニ、加齢などが原因で黄ばんでしまった歯を白くできるのが歯科医院が行う「医療ホワイトニング」です。ホワイトニングジェルに含まれる過酸化尿素で色素を分解し、歯を傷めたり削ったりすることなく白くします。
当院では、医療ホワイトニングの知識を備えた専門職「ホワイトニングコーディネーター」が患者様のなりたい歯の白さに合わせて最適な方法をご提案します。


ティオンホワイトニングとは

当院で導入している最新の「ティオンホームウィズ」は過酸化水素6%(過酸化尿素 約17%相当)を配合。従来品よりも高濃度で、短時間でも効果が期待できるのが特長です。「忙しくて通院する時間がない」「できるだけ早く白くしたい」日常のすき間時間を活用して、短期閻で理想の白さへ近づけます。
ホームホワイトニングとオフィスホワイトニング
医療ホワイトニングには、ご自宅で行っていただく「ホームホワイトニング」と、歯科医院で受けていただく「オフィスホワイトニング」があり、ご自由にお選びいただけます。
| ホームホワイトニング | オフィスホワイトニング |
|---|---|
患者様ご自身で行っていただくホワイトニングです。歯科医院で作製したマウスピースにホワイトニングジェルを入れ、これを一定時間装着することで歯が白くなっていきます。ご好きなタイミングでできる、手に入れた白さが長持ちするといったメリットがあります。ただし、オフィスホワイトニングよりも効果が出るまで時間がかかります。 |
歯科医院で受けていただくホワイトニングです。ホワイトニングジェルを歯に塗り、特殊な光を照射しながら白くしていきます。1~2回の施術ですぐに白さを実感していただけるというメリットがありますが、白さが短期間で失われやすい、特殊な光が当たる前歯しか白くできないといったデメリットもあります。 |
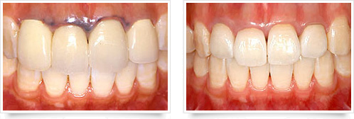
症例紹介
歯ぐきの見た目を整える処置
歯肉メラニン除去
歯ぐきの黒ずみをキレイなピンク色に戻す処置です。フェノールとアルコールを交互に塗ることで、ピーリングを行います。約2回の処置で、黒ずんだ歯ぐきもキレイなピンク色になります。
歯肉整形
歯ぐきが目立つ、あるいは不揃いな場合に行うのが歯肉整形です。歯ぐきを切除あるいは増殖させて、自然な形の歯ぐきになるよう整えます。歯肉整形には外科手術がともないます。
![]()
生きがい療法で有名な岡山の柴田病院難病疾患研究部の伊丹仁朗医師が、「人が笑っている様子を観察すると心理学的な面だけではなく、生理学的な面でも良い影響を与える」という考えを検証するため、ある実験を行っています。

男女19人が漫才や喜劇などを3時間観てその前後に採血を行い、その血液データに変化があったのかを調査しました。その結果、観劇前後では免疫機能に関する血液データに変化がありました。がん細胞を直接攻撃して破壊する働きのあるNK細胞が、観劇後に上昇するという結果が出たのです。これはつまり、笑うことでがんに対する免疫力がアップしたということ。笑いは健康の維持・増強に大きなパワーを持っていると言えるのです。
当院でも、診療によって患者様の笑顔を増やすため、いつでもスタッフが笑顔で患者様と接することを大切にしています。マナーや接遇の質を常に意識することで、患者様は心地よく安心して治療を受けられる――そう私たちは信じています。
審美治療について
院内ラボを併設している淀川区の歯医者「西中島ミナミ歯科クリニック」には、6名の歯科技工士が在籍。歯科医師と密に連携をとり、患者様の歯並びや歯の形、咬み合わせを考慮した、最適な被せ物・詰め物の作製にこだわっています。銀歯を白い美しい歯にしたい方、軽度の歯並びを整えてキレイな歯を手に入れたい方は、高品質の審美治療を実現する当院にお任せください。
金属の被せ物・詰め物が体に及ぼす影響
口腔内に銀歯など金属の被せ物・詰め物はありませんか? 口腔内に金属があると、「金属アレルギー」が健康な体に悪影響を及ぼす可能性があります。

金属アレルギーとは、金属から溶け出した金属イオンが原因で起きるアレルギー反応のことです。金属が経年劣化によって溶け出し、それがだ液を介して体内に吸収されると、肌荒れやかぶれ、だるさ、頭痛、肩こり、めまいといった症状を引き起こす場合があります。今は症状がなくても、10年後、20年後に突然症状が現れる可能性がないとは言えません。当院の審美治療では、金属アレルギーのリスクがないメタルフリー(金属不使用)素材を使用し、見た目にも全身の健康にも配慮した治療を行っています。口腔内に銀歯などの金属がある方は、早めの対処をご検討ください。
銀歯が気になる方へ
歯科技工士と歯科医師が密に連携をとり、患者様のご要望や歯並びや歯の形、咬み合わせを考慮した最適な歯科技工物を作製します。歯の見た目が気になる方は、まずはご相談ください
![]() |
![]() |
![]() |
審美素材・治療メニュー
当院では、以下の素材を用いて審美治療を行っています。









































































